
歯を多く失った場合、昔から知られる治療法として義歯があります。一言で義歯といっても、歯の無くなった状態、残っている歯の状態、顎の状態、治療費等により義歯の設計は様々な種類があります。
保険の義歯は使用できる金属、材質、使う技術等にも制限があります。一方、自費の場合は、そのような制限がありませんので時間をかけて快適な義歯を作成することが可能です。
保険の場合は、鉤の設計に制限があり、歯の負担が増すことがあります。 自費の場合は、より軽い(チタン製など)義歯をつかったり、金属の厚味を最小限にし、違和感なく噛めます。
しかし、義歯を口腔内に入れている事自体の煩わしさを解決するには現状では固定性(インプラント治療等)の治療法が最適です。
『部分入れ歯』といっても色々あります
保険の入れ歯は、材料、技術に制限があり、バネがかかる歯に負担をかけ、違和感も強い傾向があります。 自費治療の場合、歯に負担のかかりにくい材料、高度な技術で違和感の少ない、より快適な精密義歯を作成できます。
![]() |
![]() |
|
| 上 |
|
|
| 下 |
|
|
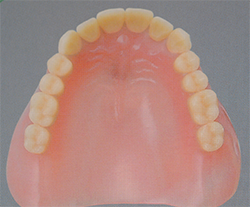
自費治療の義歯いろいろ
| ノンクラスプ義歯 | バネがない義歯、しかし耐久性に劣る |
|---|---|
| 金属床と金属歯 | よく噛める、壊れにくい |
| 磁石義歯 | 違和感が少ない、壊れにくい、よく噛める |
保険のレジン床と自費の金属床について
材料が違うので製作工程がまるで違います。ガタつかずよく働く相性のいい「相棒」を手に入れるために、各タイプの特徴についてよく検討しましょう。
| おすすめポイント | ココに注意! | |
|---|---|---|
| レジン床の部分入れ歯 保険:安価だが、使い心地がいまひとつ? |
●安価 ●修理しやすい |
●設計や使える材料に制限があり、適合性が劣る ●破損しやすい ●床の厚みで違和感を感じやすい ●クラスプが目立つことがある |
| 金属床の部分入れ歯 自費の代表格:薄くて違和感も少なく適合性も高い! |
●連結子とクラスプを1ピースで精巧に作ることができ、設計の自由度も大きいので適合性が良い ●破損しにくい ●薄く作ることができるので違和感が少ない ●食べ物の温度がよく伝わる |
●やや高価 ●修理がしにくい ●クラスプが目立つことがある |
安東歯科医院での『総入れ歯』治療
保険治療の場合、材料、技術の制限があるために、精度を高い義歯をつくる事は 困難で、安定して咬む事ができません。自費治療の場合、一度、仮義歯で患者さん特有の顎の形、歯ぐき、咬み癖などを調整し、手間と時間をかけて、最終義歯を 作成します。その為にオーダーメードの快適な精密義歯をつくる事ができます。
レジン床
耐久性に劣る熱感が伝わらない
金属床
壊れにくい、薄くできる 熱感が伝わる
レジン床金属歯
よく噛める、耐久性に劣る、熱感が伝わらない
金属床金属歯
よく噛める 壊れにくい、 薄くできる 熱感が伝わる
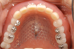
【テレスコープ義歯症例】
歯周病の進行のために奥歯は抜歯となりました、前歯のみ残りました。残った前歯は冠で繋いで連結固定し補強します。
その後クラスプ(留め金)を一体化して作成します。
見た目もきれいに快適な仕上がりに患者さんも満足しています。
治療内容
- セラミック歯(7本)
- 金属床
- テレスコープ義歯
治療費用
1,440,000円(税別)
リスク・副作用について
- ・全身状態によっては処置自体が難しい場合もあります。
- ・ある程度歯を削る必要があります。
※各費用はこのケースで治療を行った際の金額です。
本数や治療する歯の状況で金額は変わります。
磁性アタッチメント義歯(磁石義歯)
新しいタイプの材料が開発されました。磁性アタッチメントと呼ばれ、歯の根と義歯に超小型の磁石を取り付けてフィットさせるものです。
またインプラント(人工歯根)にも磁石をつける技術が開発され残りの歯が少ない場合や、総義歯にも応用できるようになりました。
複雑な仕掛けがなく装置の取り外しが簡単。小さくても強力なため、入れ歯が落ちたりすることもありません。ピタリと固定され見た目もすっきりと自然です。残った歯にかかる負担が軽く、弱っている歯にも使うことができます。
【磁石義歯症例1(部分床義歯タイプ)】
下顎の左右奥歯がありません、金属床義歯の補強のため左右各1本の歯を磁石加工しました。義歯のがたつきも少なくなり快適です。
義歯を入れたところ(上顎は総義歯)
金属床義歯(表から見たところ)
金属床義歯(裏から見たところ、磁石がついています)
治療内容
- 磁石(2本)
- 金属床部分義歯
治療費用
550,000円(税別)
リスク・副作用について
- ・全身状態によっては処置自体が難しい場合もあります。
- ・歯周病が進行していると処置自体ができない場合もあります。
※各費用はこのケースで治療を行った際の金額です。
本数や治療する歯の状況で金額は変わります。
【磁石義歯症例2(総義歯タイプ)】
仕事が忙しく治療を長い間中断していました。お口の中は悲惨な状態です。
検査、治療の結果、上は奥歯1本、下は5本の歯がどうにか残せました。
歯の状態、全体の噛み合わせも考慮して上下総義歯タイプの磁石義歯としました。お口の中がスッキリとして食事も愉しいそうです。

治療内容
- 上下金属床磁石義歯
治療費用
上下で1,800,000円(税別)
リスク・副作用について
- ・全身状態によっては処置自体が難しい場合もあります。
- ・しっかり治すためには治療回数、治療期間がかかります。
- ・歯周病が進行していると処置自体ができない場合もあります。
※各費用はこのケースで治療を行った際の金額です。
本数や治療する歯の状況で金額は変わります。
【磁石義歯症例3(インプラント磁石義歯タイプ)】
下顎総義歯があわずに苦労していた。
インプラント3本埴立しそこに磁石を取り付けました。
義歯が動かずに、ぴったりとあい、何でも美味しくいただけるそうです。

治療内容
- インプラント(3本)
- 磁石
- 金属床総義歯
治療費用
1,550,000円(税別)
リスク・副作用について
- ・チタンアレルギーのある方には使用できません。
- ・骨の状態によってはインプラント治療ができない場合もあります。
- ・強い噛み合わせの場合、割れる事もあります。
※各費用はこのケースで治療を行った際の金額です。
本数や治療する歯の状況で金額は変わります。













バネがない義歯、しかし耐久性に劣る
よく噛める、壊れにくい
違和感が少ない、壊れにくい、よく噛める