
インプラントの症例として目次
A.通常のインプラント治療

診断用模型を用いたレントゲン検査。
CT検査も併用します。

まず、レントゲンなどによる十分な診断を行い、治療の計画についての説明をします。

インプラント埋入手術。

歯の抜けたところへインプラントを植え込んだあと、顎の骨にしっかり固定されるまで、3~6ヶ月持ちます。

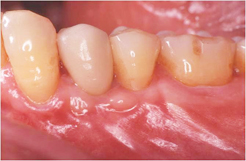
上部構造装着、治療後。

インプラントによるしっかりとした土台ができたら、人工の歯を上に取り付けます。
治療内容
- インプラント(3本)
- インプラント上部金合金前装冠(3本)
治療費用
1,050,000円(税別)

軽自動車1台分の費用です。
リスク・副作用について
- ・チタンアレルギーのある方には使用できません。
- ・骨の状態によってはインプラント治療ができない場合もあります。
- ・全身状態によっては処置自体が難しい場合もあります。
※各費用はこのケースで治療を行った際の金額です。
本数や治療する歯の状況で金額は変わります。
B.インプラント治療の前に(骨の環境整備)
インプラントは予定部位に骨が十分ないと治療ができません。最近では抜歯によって失われる骨の保存、吸収した骨の造成等を行う事で、以前では治療不可能な場所にもインプラント治療を行えるようなりました。
抜歯時に骨の保存を行わなかった場合
右下奥歯は虫歯の進行で歯が破折しています。
保存不可能のため抜歯をしました。
しかし、抜歯窩による骨の喪失があります。
患者さんは抜歯後にインプラント治療を希望されました。左のようにインプラント治療が終了する迄に骨造成、インプラント埋入、等数回の手術が必要でした。抜歯時に骨保存を行っていれば治療期間も短く、治療費負担も軽減できたことでしょう。
治療内容
- インプラント(2本)
- 骨再生(GBR)
- インプラント上部金合金前装冠(2本)
治療費用
800,000円(税別)

軽自動車3/4台分の費用です。
リスク・副作用について
- ・チタンアレルギーのある方には使用できません。
- ・骨の状態によってはインプラント治療ができない場合もあります。
- ・全身状態によっては処置自体が難しい場合もあります。
※各費用はこのケースで治療を行った際の金額です。
本数や治療する歯の状況で金額は変わります。
骨保存術(抜歯時骨再生治療)の実際
『抜歯』とは骨をなくす事を意味します。インプラント治療部位に抜歯時に骨保存術(抜歯時骨再生治療)を行い骨の喪失を最小限にします。
歯根破折のため抜歯。

抜歯時に骨補填材を抜歯窩に填足します、その上に隔離膜を設置する事もあります。
その後、抜歯窩の治癒を待ちインプラントを埋入。
抜歯による骨の喪失も最小限に押さえられました。
治療終了時、抜歯時に骨保存を行ったおかげで、治療期間も費用も節約できました。
治療内容
- インプラント(1本)
- 骨造成(抜歯時骨再生治療)
- インプラント上部金合金前装冠(1本)
治療費用
450,000円(税別)

軽自動車1/3台分の費用です。
リスク・副作用について
- ・チタンアレルギーのある方には使用できません。
- ・骨の状態によってはインプラント治療ができない場合もあります。
- ・全身状態によっては処置自体が難しい場合もあります。
※各費用はこのケースで治療を行った際の金額です。
本数や治療する歯の状況で金額は変わります。
骨造成(GBR)
インプラント治療に必要な骨の幅、高さが足りない場合、インプラント埋入の前に骨補填材による骨造成をします。
骨のない部分に膜(GTR膜)を貼り、自家骨、骨補填剤を使用して欠損部分の骨を再生します。
インプラントするには骨の高さが足りない。
骨造成を行います。
骨幅、高さを回復したおかげでインプラント治療が可能です。
治療内容
- 骨造成(1歯)
- インプラント(1本)
- インプラント上部金合金前装冠(1本)
治療費用
450,000円(税別)

軽自動車1/3台分~の費用です。
リスク・副作用について
- ・チタンアレルギーのある方には使用できません。
- ・骨の状態によってはインプラント治療ができない場合もあります。
- ・外科処置ですから,術後の腫脹、疼痛がある場合もあります。
※各費用はこのケースで治療を行った際の金額です。
本数や治療する歯の状況で金額は変わります。
上顎洞内の骨造成(サイナスリフト)
上顎には上顎洞という空洞があります。
人によっては上顎洞が大きくてインプラントに必要な骨の高さが足りないこともあります。
その場合、上顎洞内に骨補填材を用いて骨造成(サイナスリフト)を行います。

インプラント治療するには上顎洞の間に骨幅がありません。

CT等の検査後にサイナスリフトを行いました。

造成骨の成熟を数ヶ月間待ちます。
骨造成を確認後インプラント埋込。
数ヶ月後上部構造を作成して治療終了。


治療内容
- インプラント(2本)
- 上顎洞内の骨造成(サイナスリフト)
- インプラント上部金合金前装冠(2本)
治療費用
1,000,000円(税別)

軽自動車1台分の費用です。
リスク・副作用について
- ・チタンアレルギーのある方には使用できません。
- ・外科処置ですから,術後の腫脹、疼痛がある場合もあります。
- ・全身状態によっては処置自体が難しい場合もあります。
- ・しっかり治すためには治療回数、治療期間がかかります。
※各費用はこのケースで治療を行った際の金額です。
本数や治療する歯の状況で金額は変わります。
C.審美インプラント治療(こだわりのインプラント治療)
最近のインプラント治療は、自分の歯と同じような美しさを再現できる迄進歩してきています。 しかしその為には正確な診査、診断、確実な治療計画、繊細な治療技術が必要な事は言う迄もありません。
前歯部 1

右上の1番は抜歯となりました。

上の前歯2本はインプラント治療を行いました。
治療内容
- インプラント(2本)
- 抜歯時骨再生治療
- 骨造成(GBR)
- 審美歯周外科
- インプラント上部セラミック冠(2本)
- 天然歯セラミック冠(1本)
治療費用
1,170,000円(税別)

軽自動車1台分の費用です。
リスク・副作用について
- ・チタンアレルギーのある方には使用できません。
- ・強い噛み合わせの場合、割れる事もあります。
※各費用はこのケースで治療を行った際の金額です。
本数や治療する歯の状況で金額は変わります。
前歯部 2

右上の1番は抜歯となりました。

上の前歯2本はインプラント治療を行いました。
治療内容
- インプラント(1本)
- 抜歯時骨再生治療
- 審美歯周外科
- インプラント上部セラミック冠(1本)
- 天然歯セラミック冠(1本)
治療費用
700,000円(税別)

軽自動車1/2台分の費用です。
リスク・副作用について
- ・チタンアレルギーのある方には使用できません。
- ・強い噛み合わせの場合、割れる事もあります。
※各費用はこのケースで治療を行った際の金額です。
本数や治療する歯の状況で金額は変わります。
右上小臼歯部

右上の1番は抜歯となりました。 抜歯後に骨造成(GBR)を行います。

治療内容
- インプラント(2本)
- 骨造成(GBR)
- 審美歯周外科
- インプラント上部セラミック冠(2本)
- 天然歯セラミック冠(1本)
治療費用
1,120,000円(税別)

軽自動車1台分の費用です。
リスク・副作用について
- ・チタンアレルギーのある方には使用できません。
- ・骨の状態によってはインプラント治療ができない場合もあります。
- ・外科処置ですから,術後の腫脹、疼痛がある場合もあります。
- ・強い噛み合わせの場合、割れる事もあります。
- ・しっかり治すためには治療回数、治療期間がかかります。
※各費用はこのケースで治療を行った際の金額です。
本数や治療する歯の状況で金額は変わります。
左上小臼歯部

右上の1番は抜歯となりました。

治療内容
- インプラント(1本)
- 骨造成(GBR)
- 審美歯周外科
- インプラント上部セラミック冠(1本)
治療費用
600,000円(税別)

軽自動車1/2台分の費用です。
リスク・副作用について
※各費用はこのケースで治療を行った際の金額です。
本数や治療する歯の状況で金額は変わります。
右下小臼歯部

虫歯が進行していたために抜歯となりました。

両隣りの歯を削らずにインプラント治療を行いました。
治療内容
- インプラント(1本)
- 抜歯時骨再生治療
- インプラント上部セラミック冠(1本)
治療費用
550,000円(税別)

軽自動車1/2台分の費用です。
リスク・副作用について
- ・チタンアレルギーのある方には使用できません。
- ・強い噛み合わせの場合、割れる事もあります。
※各費用はこのケースで治療を行った際の金額です。
本数や治療する歯の状況で金額は変わります。
左下小臼歯部

歯周病が進行して抜歯となりました。両隣の歯は綺麗な歯でブリッジ治療の為に削るのはもったいないですね。

歯周病が進行して抜歯した部位は、インプラント治療に必要な骨が無い場合がほとんどです。骨造成(GBR)により必要な骨量を再生してインプラント治療を行います。見た目も綺麗に治療でき、患者さんも大満足です。
治療内容
- インプラント(1本)
- 骨造成(GBR)
- 審美歯周外科
- インプラント上部セラミック冠(1本)
治療費用
600,000円(税別)

軽自動車1/2台分の費用です。
リスク・副作用について
- ・チタンアレルギーのある方には使用できません。
- ・骨の状態によってはインプラント治療ができない場合もあります。
- ・外科処置ですから,術後の腫脹、疼痛がある場合もあります。
- ・全身状態によっては処置自体が難しい場合もあります。
※各費用はこのケースで治療を行った際の金額です。
本数や治療する歯の状況で金額は変わります。






