【審美歯科の治療事例】
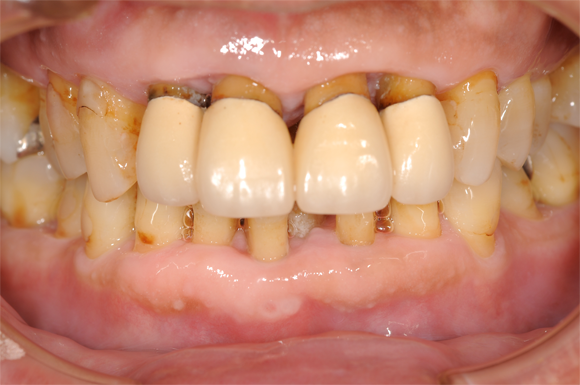
全体的に歯周病が進行していました
![]()




治療費用
1,740,000円(税別)
リスク・副作用について
- ・外科処置ですから,術後の腫脹、疼痛がある場合もあります。
- ・全身状態によっては処置自体が難しい場合もあります。
- ・ある程度歯を削る必要があります。
- ・強い噛み合わせの場合、割れる事もあります。
※各費用はこのケースで治療を行った際の金額です。
本数や治療する歯の状況で金額は変わります。
![]()




治療費用
800,000円(税別)
リスク・副作用について
- ・外科処置ですから,術後の腫脹、疼痛がある場合もあります。
- ・全身状態によっては処置自体が難しい場合もあります。
- ・ある程度歯を削る必要があります。
- ・しっかり治すためには治療回数、治療期間がかかります。
※各費用はこのケースで治療を行った際の金額です。
本数や治療する歯の状況で金額は変わります。







本記事およびウェブサイトの監修について