【インプラントの治療事例】
審美インプラント治療(こだわりのインプラント治療)右下小臼歯部
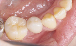
右下小臼歯部

虫歯が進行していたために抜歯となりました

両隣りの歯を削らずにインプラント治療を行いました。
治療内容
- インプラント(1本)
- ソケットプリザベーション
- インプラント上部セラミック冠 (1本)
治療費用
550,000円(税別)

軽自動車1/2台分の費用です。
リスク・副作用について
- ・チタンアレルギーのある方には使用できません。
- ・強い噛み合わせの場合、割れる事もあります。
※各費用はこのケースで治療を行った際の金額です。
本数や治療する歯の状況で金額は変わります。







本記事およびウェブサイトの監修について