【審美歯科の治療事例】
一般的な審美歯科治療「セラミック冠・大きな虫歯」
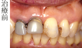
セラミック冠・大きな虫歯
前歯の虫歯が気になります。
セラミック冠にて治療。
治療内容
- セラミック冠(4本)
- 審美歯周外科
治療費用
580,000円(税別)

軽自動車1/2台分の費用です。
リスク・副作用について
- ・外科処置ですから,術後の腫脹、疼痛がある場合もあります。
- ・ある程度歯を削る必要があります。
- ・強い噛み合わせの場合、割れる事もあります。
※各費用はこのケースで治療を行った際の金額です。
本数や治療する歯の状況で金額は変わります。







本記事およびウェブサイトの監修について