【審美歯科の治療事例】
審美歯周形成外科治療(こだわりの審美歯科治療)歯グキの段差の調整
歯グキの段差の調整
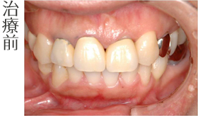
歯グキの高さの違う差し歯が気になります。
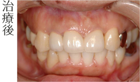
歯周形成外科にて歯グキの修正後にセラミック冠にて治療。
治療内容
- セラミック冠(3本)
- 審美歯周形成外科
治療費用
460,000円(税別)

軽自動車1/3台分の費用です。
リスク・副作用について
- ・外科処置ですから,術後の腫脹、疼痛がある場合もあります。
- ・強い噛み合わせの場合、割れる事もあります。
- ・歯周病が進行していると処置自体ができない場合もあります。
※各費用はこのケースで治療を行った際の金額です。
本数や治療する歯の状況で金額は変わります。







本記事およびウェブサイトの監修について