【総合治療の治療事例】
上下の奥歯がないまま10数年たっていました。前歯に負担がかかりついには上の前歯が脱落してしまいました。
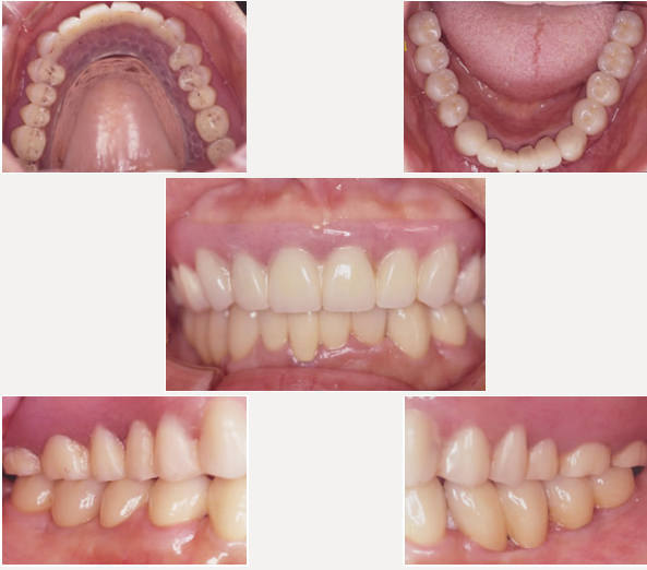
総合治療症例・3
治療前


上下の奥歯がないまま10数年たっていました。前歯に負担がかかりついには上の前歯が脱落してしまいました。前歯だけを治療してもまた壊れてしまいます。奥歯をしっかり咬めるようにすることが大事です。
治療後


下顎の左右奥歯はインプラント治療により固定製に、弱っていた下の前歯はセラミック冠で固定しました。上顎は磁石義歯としました。しっかり咬む事ができました。
治療内容
- 噛み合わせ治療
- 磁石義歯
- 審美歯科治療
- インプラント(6本)
- セラミックブリッジ(10本)
治療費用
4,300,000円(税別)

輸入普通自動車の3/5分の費用です。
リスク・副作用について
- ・チタンアレルギーのある方には使用できません。
- ・骨の状態によってはインプラント治療ができない場合もあります。
- ・全身状態によっては処置自体が難しい場合もあります。
- ・しっかり治すためには治療回数、治療期間がかかります。
※各費用はこのケースで治療を行った際の金額です。
本数や治療する歯の状況で金額は変わります。







本記事およびウェブサイトの監修について