【総合治療の治療事例】
長い間虫歯、歯周病、欠損部を放置していた為、噛み合わせも含めた総合治療が必要でした。
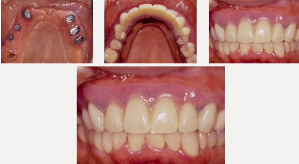
総合治療症例・2
治療前


長い間虫歯、歯周病、欠損部を放置していた為、噛み合わせも含めた総合治療が必要でした。
治療後


上顎は磁石義歯とし、インプラント磁石も追加し快適性を向上しました。 下顎は奥歯はインプラント治療、前歯はセラミックブリッジにて固定製にしました。
治療内容
- 磁石義歯
- インプラント磁石総義歯
- 再生治療
- インプラント(6本)
- セラミックブリッジ(8本)
治療費用
3,660,000円(税別)

輸入普通自動車3/4台分の費用です。
リスク・副作用について
- ・チタンアレルギーのある方には使用できません。
- ・外科処置ですから,術後の腫脹、疼痛がある場合もあります。
- ・全身状態によっては処置自体が難しい場合もあります。
- ・強い噛み合わせの場合、割れる事もあります。
- ・しっかり治すためには治療回数、治療期間がかかります。
※各費用はこのケースで治療を行った際の金額です。
本数や治療する歯の状況で金額は変わります。







本記事およびウェブサイトの監修について