
審美歯科とは?
顔貌の美に注目した最近の治療は『審美歯科治療』とよばれています。1990年代にロサンゼルスの歯科医達からおこり、世界的なブームになっていきました。歯の形や色をよくしたり、特に美しさに配慮した歯科治療のことです。 『審美』という耳慣れない言葉は『エステテックス』の翻訳で、『美容(コスメテックス)』と一線を画しておこうという意図で使われているようです。
具体的には歯茎の黒ずみをとったり(メラニン除去)、歯を削らずに漂白して白くする(ブリーチング)といった簡単な処置から、ラミネートベニヤ、セラミッククラウン、といった被せ物、ひいては全体的な噛み合わせを治療して、失ったきれいな笑顔を取り戻す治療迄、と様々です。審美歯科治療は何も特別な治療ではなく、歯科治療でもワンランク上の質の高い治療の一つだといえます。それは、美醜の感覚はとても文化的な感覚で、美醜の基準は、患者さんの気持ちや生活背景にあるものだからです。私達はそのような要素を患者さんと一緒に考えながら、患者さん個人にあった美しさを引き出す治療を心掛けています。


審美歯科治療は何も特別な治療ではなく、歯科治療でもワンランク上の質の高い治療の一つです。
安東歯科医院では患者さん個人にあった美しさを引き出す治療を心掛けています。
A.一般的な審美歯科治療
セラミックインレー
銀歯が気になります。
セラミックインレーにて治療しました。
治療内容
- セラミックインレー(4本)
治療費用
160,000円(税別)

軽自動車1/5台分の費用です。
リスク・副作用について
- ・ある程度歯を削る必要があります。
- ・強い噛み合わせの場合、割れる事もあります。
※各費用はこのケースで治療を行った際の金額です。
本数や治療する歯の状況で金額は変わります。
ラミネートベニア
大きな虫歯。
ラミネートベニアにて治療。
治療内容
- ラミネートベニア(2本)
治療費用
240,000円(税別)

軽自動車1/5台分の費用です。
リスク・副作用について
- ・ある程度歯を削る必要があります。
- ・強い噛み合わせの場合、割れる事もあります。
※各費用はこのケースで治療を行った際の金額です。
本数や治療する歯の状況で金額は変わります。
セラミック冠・大きな虫歯
前歯の虫歯が気になります。
セラミック冠にて治療。
治療内容
- セラミック冠(4本)
- 審美歯周外科
治療費用
580,000円(税別)

軽自動車1/2台分の費用です。
リスク・副作用について
- ・外科処置ですから,術後の腫脹、疼痛がある場合もあります。
- ・ある程度歯を削る必要があります。
- ・強い噛み合わせの場合、割れる事もあります。
※各費用はこのケースで治療を行った際の金額です。
本数や治療する歯の状況で金額は変わります。
B.セラミッククラウンによる治療
審美歯科 症例 1

右上前から2番目の歯の変色が気になって来院されました。セラミッククラウンにより治療を行いました。 他の歯と違和感なく自然な感じな仕上がりで、患者さんも満足です。
治療費用
120,000円(税別)
リスク・副作用について
- ・ある程度歯を削る必要があります。
- ・強い噛み合わせの場合、割れる事もあります。
※各費用はこのケースで治療を行った際の金額です。
本数や治療する歯の状況で金額は変わります。
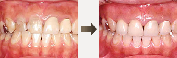
審美歯科 症例 2

右上2本の前歯の大きな虫歯が気になり来院されました。左側2本にはすでにセラミッククラウンによる治療がされていました。左側のセラミックと同じ色合いになるように調整してセラミッククラウンで治療しました。
治療費用
24万0,000(税別)
リスク・副作用について
- ・ある程度歯を削る必要があります。
- ・強い噛み合わせの場合、割れる事もあります。
※各費用はこのケースで治療を行った際の金額です。
本数や治療する歯の状況で金額は変わります。
審美歯科 症例 3

前歯6本の虫歯と歯の色が黄色いことを気にされて来院された70歳の女性です。 セラミックにより術前より白くて綺麗な歯の形を作る事で患者さんも満足している様です。
治療費用
720,000円(税別)
リスク・副作用について
- ・全身状態によっては処置自体が難しい場合もあります。
- ・ある程度歯を削る必要があります。
- ・強い噛み合わせの場合、割れる事もあります。
※各費用はこのケースで治療を行った際の金額です。
本数や治療する歯の状況で金額は変わります。
審美歯科 症例 4

以前治療した保険の前歯の再治療を希望して来院されました。 検査の結果、噛み合わせ、歯周病など他のところにも悪いところがあり最終的にはお口の中全体を治療しました。
見た目も自然で綺麗になって大変喜ばれました。 セラミックは体に優しい材質であり天然の歯に近い自然感のある色調を作る事ができます。 前歯でだけでなくもちろん奥歯にも使用する事ができます。 しかし、ただ歯の型をとったら、この様な綺麗で自然感のあるものができるわけではありません。 歯茎の処置を含めた綿密な治療計画と繊細なドクターの治療技術が必要な事はいうまでもありません。
治療内容
- セラミック(14本)
治療費用
1,680,000円(税別)
リスク・副作用について
- ・全身状態によっては処置自体が難しい場合もあります。
- ・ある程度歯を削る必要があります。
- ・しっかり治すためには治療回数、治療期間がかかります。
※各費用はこのケースで治療を行った際の金額です。
本数や治療する歯の状況で金額は変わります。
C.審美歯周形成外科治療(こだわりの審美歯科治療)
歯の美しさはもちろんの事、歯を取り巻く歯グキの自然感を求める患者さんも増えています。 そのような歯グキの環境整備する外科治療を審美歯周形成外科治療と呼んでいます。 笑った時歯グキが見える、歯グキの段差や、陥没、歯グキの色、歯グキが下がって歯根が見える、といった事が改善できます。この処置をする事で被せもの(補綴物)の美しさがより一層引き出されます。いわばこだわりの審美歯科治療のひとつです。
笑った時に歯グキが見える

治療前。

歯周形成外科(歯冠長延長術)。

プロビジョナルレストレーションによる調整。

セラミック冠による治療。
治療内容
- セラミック冠(4本)
- 審美歯周形成外科
治療費用
580,000円(税別)

軽自動車1/2台分の費用です。
リスク・副作用について
- ・外科処置ですから,術後の腫脹、疼痛がある場合もあります。
- ・ある程度歯を削る必要があります。
- ・歯周病が進行していると処置自体ができない場合もあります。
※各費用はこのケースで治療を行った際の金額です。
本数や治療する歯の状況で金額は変わります。
歯グキの段差の調整
歯グキの高さの違う差し歯が気になります。
歯周形成外科にて歯グキの修正後にセラミック冠にて治療。
治療内容
- セラミック冠(3本)
- 審美歯周形成外科
治療費用
460,000円(税別)

軽自動車1/3台分の費用です。
リスク・副作用について
- ・外科処置ですから,術後の腫脹、疼痛がある場合もあります。
- ・強い噛み合わせの場合、割れる事もあります。
- ・歯周病が進行していると処置自体ができない場合もあります。
※各費用はこのケースで治療を行った際の金額です。
本数や治療する歯の状況で金額は変わります。
陥没した歯グキの再生

歯槽堤増大術
歯茎の陥没のままブリッジが装着され歯茎の段差が気になります。
審美歯周形成外科(歯槽堤増大術)にて陥没を修正して歯グキのラインを整えてセラミッブリッジを作成。
治療内容
- セラミックブリッジ(4本)
- 審美歯周形成外科
治療費用
580,000円(税別)

軽自動車1/3台分の費用です。
リスク・副作用について
- ・全身状態によっては処置自体が難しい場合もあります。
- ・ある程度歯を削る必要があります。
- ・強い噛み合わせの場合、割れる事もあります。
- ・歯茎の状態によっては処置自体ができない場合もあります。
※各費用はこのケースで治療を行った際の金額です。
本数や治療する歯の状況で金額は変わります。
歯周病が進行して抜歯をしたので歯茎が大きく陥没しています。
審美歯周形成外科治療(歯槽堤増大術)で陥没を再生してセラミックブリッジを作成しました。
治療内容
- セラミックブリッジ(8本)
- 審美歯周形成外科
治療費用
1,360,000円(税別)
リスク・副作用について
- ・外科処置ですから,術後の腫脹、疼痛がある場合もあります。
- ・ある程度歯を削る必要があります。
- ・しっかり治すためには治療回数、治療期間がかかります。
- ・歯周病が進行していると処置自体ができない場合もあります。
※各費用はこのケースで治療を行った際の金額です。
本数や治療する歯の状況で金額は変わります。
歯根の露出の再生
歯茎が下がって根っこが見えてきています。

根面被覆術
審美歯周外科治療(根面被覆術)で歯茎を再生してセラミック冠を作成しました。
治療内容
- セラミックブリッジ(4本)
- 審美歯周形成外科
治療費用
580,000円(税別)

軽自動車1/2台分の費用です。
リスク・副作用について
- ・外科処置ですから,術後の腫脹、疼痛がある場合もあります。
- ・全身状態によっては処置自体が難しい場合もあります。
- ・ある程度歯を削る必要があります。
※各費用はこのケースで治療を行った際の金額です。
本数や治療する歯の状況で金額は変わります。
歯肉の厚みを増す処置
歯グキの厚みが薄く将来歯根の露出の可能性がありました。

歯周形成外科(付着歯肉増大術)にて歯肉の厚みを作りました。
歯周病の為にセラミック冠にて連結しました
治療内容
- セラミック冠(6本)
- 審美歯周外科(付着歯肉増大術)
治療費用
900,000円(税別)

軽自動車3/4台分の費用です。
リスク・副作用について
- ・全身状態によっては処置自体が難しい場合もあります。
- ・ある程度歯を削る必要があります。
- ・強い噛み合わせの場合、割れる事もあります。
- ・しっかり治すためには治療回数、治療期間がかかります。
※各費用はこのケースで治療を行った際の金額です。
本数や治療する歯の状況で金額は変わります。
複合処置(数種類の処置のコンビネーション)
治療前 ブリッジが装着されています、しかし、歯肉が薄く支台歯の歯肉退縮も認められます。
根面被覆術、付着歯肉増大術、歯槽堤増大術をおこない歯茎の環境整備をしました。
セラミックブリッジを装着しました、歯肉も厚くなり審美的にも満足です。
治療内容
- セラミック冠(6本)
- 審美歯周外科(付着歯肉増大術、歯槽堤増大術、根面被覆術)
治療費用
1,020,000円(税別)

軽自動車1台分の費用です。
リスク・副作用について
- ・外科処置ですから,術後の腫脹、疼痛がある場合もあります。
- ・ある程度歯を削る必要があります。
- ・強い噛み合わせの場合、割れる事もあります。
- ・しっかり治すためには治療回数、治療期間がかかります。
- ・歯茎の状態によっては処置自体ができない場合もあります。
※各費用はこのケースで治療を行った際の金額です。
本数や治療する歯の状況で金額は変わります。
歯肉の着色
差し歯の治療時の金属削片が沈着して歯肉に変色を起こしています。。
金属削片を除去し、審美歯周形成外科にて歯肉の再生を行いセラミック冠を作成しました。
治療内容
- セラミック冠(4本)
- 審美歯周外科(付着歯肉増大術、金属削片除去)
治療費用
680,000円(税別)

軽自動車1/2台分の費用です。
リスク・副作用について
- ・外科処置ですから,術後の腫脹、疼痛がある場合もあります。
- ・ある程度歯を削る必要があります。
- ・強い噛み合わせの場合、割れる事もあります。
- ・しっかり治すためには治療回数、治療期間がかかります。
※各費用はこのケースで治療を行った際の金額です。
本数や治療する歯の状況で金額は変わります。






