治療事例

【審美歯科の治療事例】
神経をとった後の前歯が変色

神経を取った後の前歯の変色

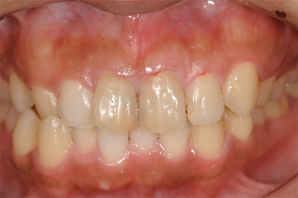
治療前の写真

「神経を取った後の前歯の変色」のケースにおいて治療を行った結果このようになりました。

前歯2本、オールセラミック冠で治療

治療後の写真

治療費用

300,000円(税別)

リスク・副作用について
  • ・全身状態によっては処置自体が難しい場合もあります。
  • ・ある程度歯を削る必要があります。
  • ・強い噛み合わせの場合、割れる事もあります。

※各費用はこのケースで治療を行った際の金額です。
 本数や治療する歯の状況で金額は変わります。

安東俊夫院長 本記事およびウェブサイトの監修について
安東俊夫(安東歯科医院 院長)
・日本歯周病学会認定 歯周病指導医
・日本歯周病学会認定施設 安東歯科医院 院長
・京セラメディカル公認 インプラントインストラクター
院長プロフィールアマゾン